Our Treatments
Whatever brings you here today, we make sure you get
the care you need without disappointment.
Enquire Now
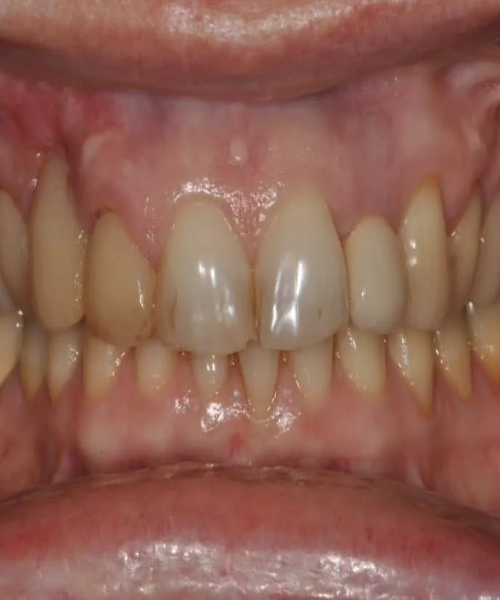
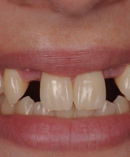
See The Transformation
Stunning results that showcase the life changing impact






Testimonials

FAQ's
1How do I book an appointment at Bishnoi Dental Care?
You can book an appointment by calling us directly or visiting our clinic. Our team will help you schedule a convenient time.
2What dental services do you offer?
We provide complete dental care including routine check-ups, cleaning, fillings, root canal treatment, crowns, bridges, cosmetic dentistry, and preventive care.
3Do you follow proper hygiene and sterilization protocols?
Yes, we strictly follow international sterilization and hygiene standards to ensure patient safety at all times.
4Is dental treatment painful?
We use modern, minimally invasive techniques and anesthesia to ensure treatments are as comfortable and pain-free as possible.
5Do you treat children and senior patients?
Absolutely. We provide gentle and specialized dental care for patients of all age groups.
